광교365리움치과병원 — 16명 전문의 365일 진료 수원 광교 영통 치과병원 | 임플란트·교정·수면치과
환자분들의 실제 치료 여정을
그대로 담은 치료 증례
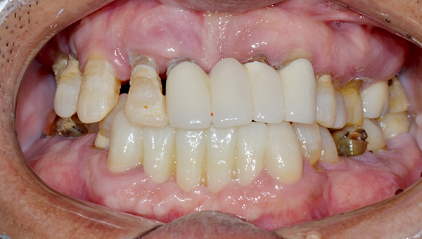
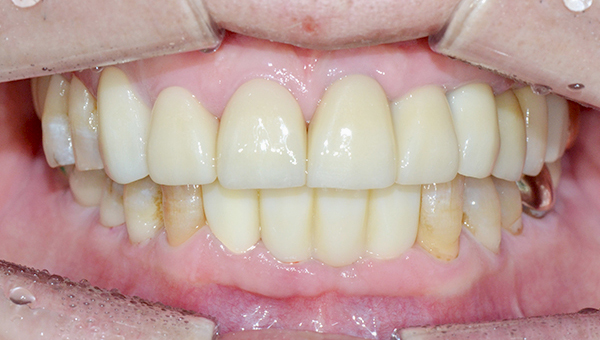
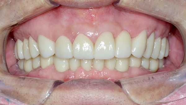
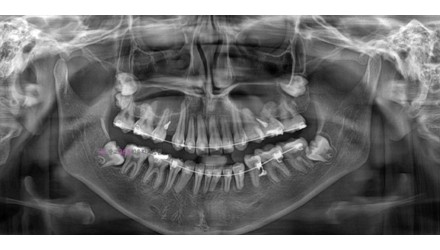
치료사례임플란트
이*훈 임플란트 시술 사례
하악 전치부 / 하악 구치부 임플란트
해당 사진은 환자분의 동의 하에, 동일조건에서 촬영되었습니다.
모든 치료에는 환자분의 구강 상태, 생활 습관, 전신 건강 등에 따라
결과와 회복에 차이가 있을 수 있으며, 부작용이 나타날 수 있습니다.
모든 시술은 장점과 함께 부작용 가능성도 있으므로, 신중히 이해하고 결정하시길 권장드립니다.

2025.01.02
치료 전

2025.04.10
치료 후
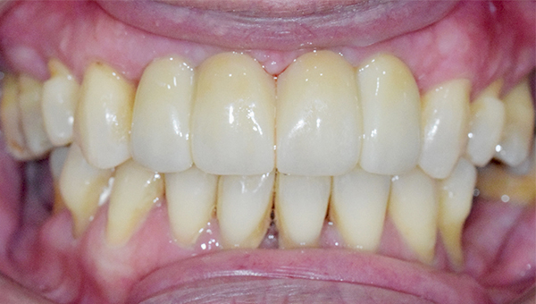
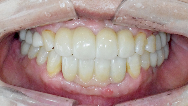
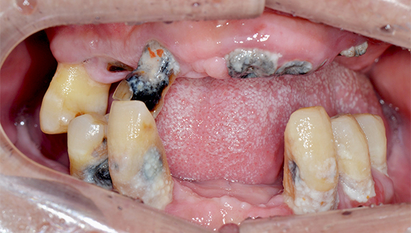
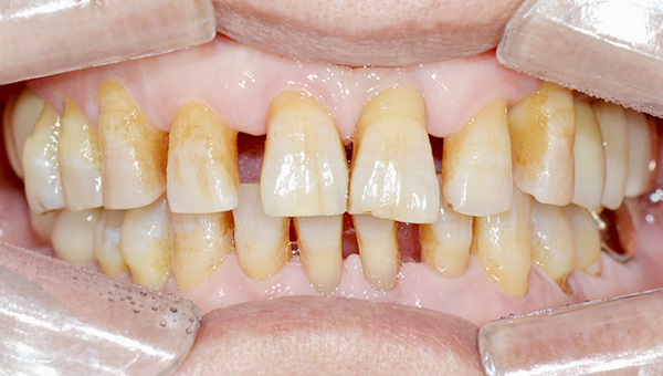
치료사례임플란트
오*아 임플란트 시술 사례
상악 전치부 임플란트
해당 사진은 환자분의 동의 하에, 동일조건에서 촬영되었습니다.
모든 치료에는 환자분의 구강 상태, 생활 습관, 전신 건강 등에 따라
결과와 회복에 차이가 있을 수 있으며, 부작용이 나타날 수 있습니다.
모든 시술은 장점과 함께 부작용 가능성도 있으므로, 신중히 이해하고 결정하시길 권장드립니다.

2025.03.10
치료 전

2025.06.26
치료 후
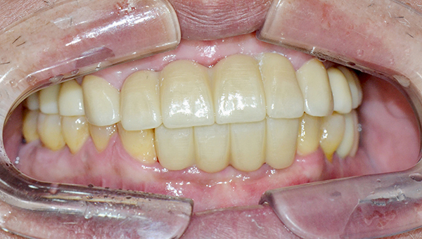
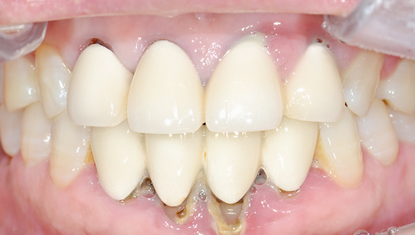
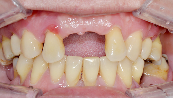
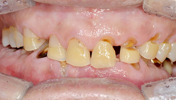
치료사례임플란트
안*명 임플란트 시술 사례
상악 전체/ 하악 구치부 임플란트
해당 사진은 환자분의 동의 하에, 동일조건에서 촬영되었습니다.
모든 치료에는 환자분의 구강 상태, 생활 습관, 전신 건강 등에 따라
결과와 회복에 차이가 있을 수 있으며, 부작용이 나타날 수 있습니다.
모든 시술은 장점과 함께 부작용 가능성도 있으므로, 신중히 이해하고 결정하시길 권장드립니다.

2024.10.11
치료 전

2025.04.14
치료 후
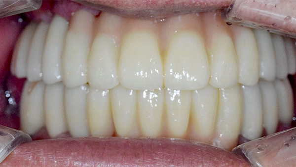
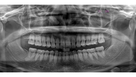
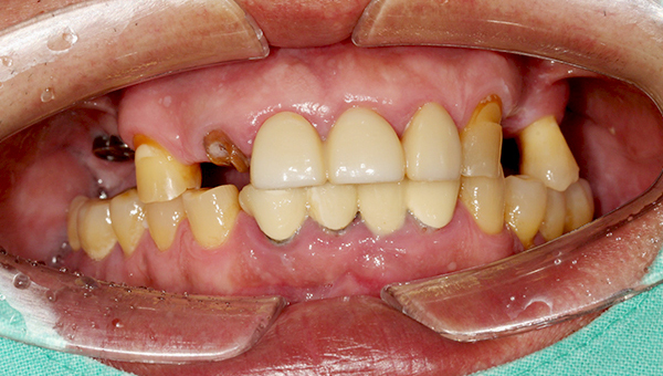
치료사례임플란트
심*복 임플란트 시술 사례
전체 임플란트
해당 사진은 환자분의 동의 하에, 동일조건에서 촬영되었습니다.
모든 치료에는 환자분의 구강 상태, 생활 습관, 전신 건강 등에 따라
결과와 회복에 차이가 있을 수 있으며, 부작용이 나타날 수 있습니다.
모든 시술은 장점과 함께 부작용 가능성도 있으므로, 신중히 이해하고 결정하시길 권장드립니다.

2024.12.05
치료 전

2025.05.30
치료 후
치료사례임플란트
강*란 임플란트 시술 사례
전체 임플란트
해당 사진은 환자분의 동의 하에, 동일조건에서 촬영되었습니다.
모든 치료에는 환자분의 구강 상태, 생활 습관, 전신 건강 등에 따라
결과와 회복에 차이가 있을 수 있으며, 부작용이 나타날 수 있습니다.
모든 시술은 장점과 함께 부작용 가능성도 있으므로, 신중히 이해하고 결정하시길 권장드립니다.

2025.02.07
치료 전

2025.08.19
치료 후
치료사례임플란트
김*현 임플란트 시술 사례
구치부/전치부 임플란트
해당 사진은 환자분의 동의 하에, 동일조건에서 촬영되었습니다.
모든 치료에는 환자분의 구강 상태, 생활 습관, 전신 건강 등에 따라
결과와 회복에 차이가 있을 수 있으며, 부작용이 나타날 수 있습니다.
모든 시술은 장점과 함께 부작용 가능성도 있으므로, 신중히 이해하고 결정하시길 권장드립니다.

2025.06.10
치료 전

2025.10.28
치료 후
치료사례임플란트
박*수 임플란트 시술 사례
전체 임플란트
해당 사진은 환자분의 동의 하에, 동일조건에서 촬영되었습니다.
모든 치료에는 환자분의 구강 상태, 생활 습관, 전신 건강 등에 따라
결과와 회복에 차이가 있을 수 있으며, 부작용이 나타날 수 있습니다.
모든 시술은 장점과 함께 부작용 가능성도 있으므로, 신중히 이해하고 결정하시길 권장드립니다.

20**.**.**
치료 전

20**.**.**
치료 후
실제 환자분들이 남겨주신
솔직한 리뷰
건강한 미소를 되찾으신 환자분들의 후기는 저희에게 큰 감동과 자부심을 안겨줍니다.
소중한 말씀을 가슴에 새기며, 앞으로도 환자 한 분 한 분께 365일 최선을 다하는 치과가 되도록 노력하겠습니다.
환자의 마음을
이해하고 공감하다
마음을 더한 진료비 프로젝트
치료 시기를 놓치지 않도록 비용의 걱정은 저희가 덜어드리고자 합니다.
대상 : 기간 내 내원 하시는 환자분들
기간 : 2026년 4월~2026년 6월 30일까지
-
연세대학교 세브란스 병원
구강악안면외과 전문의가 직접 케어하는프리미엄 전체 임플란트
700만원 → 400만원
※뼈이식, 폰틱치아 비용 별도
-
대한민국 1.9%의
구강외과 전문의가 집도하는안전한 임플란트
-
디오 임플란트 고급형
- 맞춤형 어버트먼트 기준
- 뼈이식 별도68만원
38만원
-
오스템 SA 임플란트
- 맞춤형 어버트먼트 기준
- 뼈이식 별도78만원
48만원
-
오스템 CA 임플란트
- 맞춤형 어버트먼트 기준
- 뼈이식 별도98만원
58만원
-
오스템 SOI 임플란트
- 맞춤형 어버트먼트 기준
- 뼈이식 별도129만원
78만원
-
스트라우만 임플란트
- 맞춤형 어버트먼트 기준
- 뼈이식 별도250만원
180만원
-
-
대한민국 1.7%의
교정과 전문의가 만드는정밀 치아교정
-
메탈장치 치아교정
- 진단비, 월비 포함 (유지장치 별도)
500만원
365만원
-
세라믹 치아교정
- 진단비, 월비 포함 (유지장치 별도)
600만원
390만원
-
인비절라인 치아교정 투명교정
- 진단비, 월비 포함(유지장치 별도)
700만원
600만원
-
세라핀 치아교정 투명교정
- 진단비, 월비 포함(유지장치 별도)
550만원
480만원
-
부분치아교정
- 기간에 따라 비용상이
- 진단비, 월비 포함(유지장치 별도)
120만원~
-
1차 교정 [성장기 어린이 교정]
기본
- 기간에 따라 비용상이
턱 교정
- 월비 3만원 별도
100만원
150만원
-
인비절라인 퍼스트 [소아 투명교정]
450만원
350만원
-
세라핀 치아교정 [소아 투명교정]
400만원
300만원
행복한 진료비 프로젝트
예뻐지는 심미치료
-
올세라믹 4개 이상
49만원~ VAT 별도
-
리움네이트
60만원 VAT 별도
-
치아미백 2회 이상 진행
회당 9만원 VAT 별도
-
정직한 진료를 하는 곳을 고르려 해도,
전문성을 따지고 싶어도,
결국엔 다 거기서 거기,
똑같은 치과라구요?
치과에 대한 생각을 바꾸는 치과
광교365리움치과병원은
진심으로 진료합니다!
-
01
수원·광교·영통·수지 지역의 치과병원이며 365일 진료하는 병원입니다.
-
02
14인의 치과의사·전문의가 진료과별로 체계적으로 치료합니다.
-
03
임플란트는 구강악안면외과 전문의, 치주과 전문의가 직접 진료합니다.
-
04
치과의사가 아닌 풍부한 경험의 마취통증의학과 전문의가 상주합니다.
-
05
교정 진료는 교정과전문의가 직접 분석하고 치료합니다.
-
06
신경치료 및 충치치료는 보존과전문의, 보철과 전문의, 통합치의학 전문의 진료
-
07
거품 뺀 부담 적은 비용으로 만족도 높은 치료 결과
-
08
가능한 덜 아프게 치료하도록 항상 연구하는 치과병원
광교365리움치과병원은
365일 환자를 생각합니다.
각 분야에서 오랜 경험과 노하우, 전문성을 쌓아온
광교365리움치과병원의 의료진을 소개합니다.
-
광교 수원 최초 치과병원 병원장
이시영
병원장
-
단국대학교 치과대학
-
가톨릭대학교 임상치과학 대학원 교정과 석, 박사과정
-
보스턴대학교 심미보철 CE course
-
펜실베니아대학 Micro endodontic course
약력 자세히 보기 -
-
구강악안면외과 전문의
권순모
원장
-
구강악안면외과 전문의
-
연세대학교 치과대학 치의학과 졸업
-
연세대학교 대학원 치의학 석사 (구강악안면외과학)
-
연세대학교 치과대학병원 인턴
약력 자세히 보기 -
-
치과교정과 전문의
백원경
원장
-
치과교정과 전문의
-
연세대학교 치과대학 수석 졸업
약력 자세히 보기 -
-
마취통증의학과 전문의
박소영
원장
-
서울대학교 의과대학 졸업
-
서울대학교 의과대학원 졸업
-
서울대학교 마취과 전문의
약력 자세히 보기 -
-
통합치의학과 전문의
박연주
원장
-
통합치의학과 전문의
-
연세대학교 대학원 치의학과 보철과 박사학위 과정
-
광주시 조선대학교 치의학전문대학원 치의학 전문 석사
약력 자세히 보기 -
-
치과보존과 전문의
선태욱
원장
-
치과보존과 전문의
-
단국대학교 치과대학 졸업
-
단국대학교 치과병원 인턴 및 치과보존과 레지던트 수료
약력 자세히 보기 -
-
치과보철과 전문의
김지원
원장
-
대한치과보철학회 인정의
-
경희대학교 치과대학 졸업
-
중앙보훈병원 인턴 수료
-
중앙보훈병원 치과보철과 레지턴트 수료
약력 자세히 보기 -
-
통합치의학과 전문의
박정배
원장
-
통합치의학과 전문의
-
단국대학교 치과대학 졸업
-
AMII KOREA(최소침습임플란트학회)정회원
-
Dr.kim endidintic treatment seminar 수료
약력 자세히 보기 -
-
구강악안면외과 전문의
전우영
원장
-
구강악안면외과 전문의
-
대한악안면성형재건외과학회 인정의
-
전남대학교 치의학전문대학원 졸업
-
전북대학교 치과병원 인턴 수료
-
전북대학교 치과병원 구강악안면외과 레지던트 수료
약력 자세히 보기 -
-
광교365리움치과병원
이동인
원장
-
연세대학교 치과대학 치의학과 졸업
약력 자세히 보기 -
-
치과교정과 전문의
송주언
원장
-
치과교정과 전문의
-
연세대학교 치의학전문대학원 수석 졸업
약력 자세히 보기 -
-
치주과 전문의
윤현필
원장
-
강릉원주대학교 치과 대학 졸업
-
강릉원주대학교 치의학전문대학원 석사
-
강릉원주대학교 치과병원 인턴 및 치주과 레지던트 수료
-
대한치주과학회 정회원
약력 자세히 보기 -
-
광교365리움치과병원
이한결
원장
-
독일 드레스덴 공과대학교 (TU Dresden) 치의학과 졸업
-
독일 및 유럽 치과의사 면허 취득
-
한국 치과의사 면허 취득
-
독일에서 3년간 임상
약력 자세히 보기 -
-
통합치의학과 전문의
김민수
원장
-
연세대학교 치과대학 졸업
-
오스템 AIC implant course 수료
-
Upenn seminar course 수료
-
턱관절 장애 연수회
약력 자세히 보기 -
-
통합치의학과 전문의
김태원
대표원장
-
통합치의학과 전문의
-
연세대학교 치과대학 졸업
약력 자세히 보기 -
-
치과보철과 전문의
대한치과보철학회 인정의
성시영
원장
-
단국대학교 치과대학 졸업
-
고려대학교 안암병원 인턴 수료
-
고려대학교 안암병원 치과보철과 레지던트 수료
-
고려대학교 임상치의학 대학원 치의학석사
약력 자세히 보기 -
대형 규모의 원내 기공소에서,
오랜 경력의 7인의 기공 스페셜 리스트가
맞춤 보철물을 빠르게 제작합니다.
보철물은 미세한 차이로 환자에게 큰 이질감을 줄 수도 편안함을 줄 수도 있습니다.
때문에 환자에 대한 정확한 데이터를 기반으로 담당 원장과
오랜 경력의 치과기공사들이 협력하여 맞춤형 보철물을 제작하는 것이 중요합니다.
광교365리움치과병원은 원내 기공소를 보유한 경우 빠르게 보철물 제작정보를 전달하여
제작하기 때문에 진료 과정의 불필요한 시간을 단축시키고,
커뮤니케이션으로 생기는 오차를 줄일 수 있습니다.
또한, 숙련되고 실력있는 기공사가 정확성과 집중도를 높여
수준 높고 자연스러운, 편안한 환자 맞춤 보철물을 직접 제작합니다.
헌신하겠습니다.
광교365리움치과병원은 이런 분들의 마음을 잘 알기에
친절하고 자세한 설명은 기본으로, 이산화질소를 통해 긴장된 몸을 완화시켜주는
웃음가스 장비와 마취과 전문의의 수면 시술을 진행하고 있습니다.
대표원장 이시영.
친절하고 자세한 설명은 기본으로, 이산화질소를 통해 긴장된 몸을 완화시켜주는
웃음가스 장비와 마취과 전문의의 수면 시술을 진행하고 있습니다.
정직하게 진료하는 곳 없을까?
치료받던 치과가 갑자기 사라진다면?
치료는 받아야 한다는건 알지만
시간 맞추기가 너무 어렵네...
이와 같은 고민, 다들 해보셨을거라 생각합니다.
수 많은 치과 중 어디로 가야 좋을지 고민이라면?
치과에 대한 생각을 바꾸는 치과,
광교365리움치과병원
Unlock Your Brightest
Smile with Reum
Unlock Your Brightest Smile with Reum Unlock Your Brightest Smile with Reum
가장 가까운 곳에서 함께하는
광교365리움치과병원은 대학병원과 동일한 진료시스템을 갖추기 위해 노력하고 있습니다.
내부 시설을 비롯한 의료진의 전문성 등을 인정받은 치과병원으로서의 편의 시설을 갖추었습니다.
겉으로 보여지는 시스템 뿐만 아니라 분과별 전문 의료진들로 구성하여 진료 자체에 대한 만족도를 높이며, 구강외과, 치과보철과, 마취과, 치과교정과, 통합치의학과의 등 각 분야에 전문성을 갖춘 진료과별 14인의 전문의 협진으로 환자에게 최선의 진료를 제공합니다.
치과치료는 환자마다 맞춤형으로 제공되어야 합니다.
같은 증상으로 치과를 방문했더라도 원인과 해결방법은 다 다를 수 있습니다.
따라서 각 분야에서 쌓아온 노하우와 전문성을 바탕으로 보다 신뢰할 수 있는 의료서비스를 제공하겠습니다.
-
365일 진료
365일, 평일 매일 야간 진료시행
-
치과의원이 아닌 치과병원
내부 시설을 비롯한 의료진의 전문성 등을
인정받은 치과병원 -
진료과별 14인 전문의
구강외과, 치과보철과, 마취과, 치과교정과, 통합치의학과의
진료과별 14인의 전문의 협진 시스템
환자의 말에 귀 기울이고,
환자분들의 입장에서 생각하고,
환자의 눈높이에 맞춘 설명을 합니다.
광교365리움치과병원은 개원 이래 많은 고객분들에게 양질의 진료 서비스를 제공하고자 노력해왔습니다.
대부분의 치과에서 환자가 치료를 왜, 어떻게 받아야하는지에 대한 설명이 부족한 경우가 많습니다.
광교365리움치과병원은 환자와의 소통을 가장 중요하게 생각하고
모든 진료에 앞서 치료계획에 대한 충분한 설명으로 진료에 대한 이해를 높이고 신뢰를 쌓습니다.
광교365리움치과병원은 정확도 높은 진료를 원칙으로 하여 환자분들의 불편함을 빠르게 치료해드리며, 환자분들께 꼭 맞는 맞춤 진료를 제공해드리겠습니다.
너무 힘든 치과 고르기
멀어도 좋으니,
믿고 맡길 수 있는 곳 없나?
어디로 가야할지 막막했던 경험 있으시죠?
원하는 치과 찾기에 지쳐버리고
결국 다시 원점으로 돌아가
치과 치료를 차일피일 미루는 경우가 많습니다.
광교365리움치과병원의
불빛은 꺼지지 않습니다.
평일 야간진료를 시행하고, 공휴일에도 진료를 하고 있습니다.
평일에는 밤 8시까지 주5일 야간진료를 시행합니다.
토요일, 일요일에도 역시 진료를 하고 있으며, 추석 및 설날 당일에도 진료를 시행합니다.
따뜻한 병원, 존중하는 병원,
여러분이 미소 짓는 그날까지 정성과 진심을 다하겠습니다.
-
편의를 위해 365일 진료
-
공휴일/주말 5시까지 진료
-
평일매일 야간진료
치료의 시작부터 끝까지
편안한 시간이 될 수 있도록
작은 통증도 관리해 드립니다.
치과 치료와 마취는 누구에게나 불편한 과정입니다.
-
1단계
표면 마취
표면에 마취제를 이용해
바늘이 들어가는 부분을 마취 -
2단계
디지털 마취
디지털 장비를 이용해 일정한 압으로
마취제를 투입하여 불폄함을 최소화 -
3단계
극 미세침 마취
극 미세침을 이용해 깊숙한 부위까지
마취하여 치료 시 통증을 최소화 -
4단계
마취과 전문의 수면 치과 치료
환자를 가수면 상태로 유도해
가수면 상태에서 편안하게 치료
치과 치료는 치과의사가!
마취는 마취과 전문의가!
광교365리움치과병원에는 다년 간의 경험이 있는
경기도 유일 마취과 전문의가 상주하고 있습니다.
"몇 년 전부터 치과 가려고 생각하고는 있는데,
너무 무서워서 못가고 있어요."
소아 및 천년 뿐만 아니라, 성인분들 중 치과진료를 받아야 하는 상황임에도
어릴적 트라우마 및 각종 원인으로 치과 방문을 미루고 계신 분들이 많이 계십니다.
광교365리움치과병원은 이런 분들의 마음을 잘 알기에
친절하고 자세한 설명은 기본으로, 이산화질소를 통해 긴장된 몸을 완화시켜주는
웃음가스 장비와 마취과 전문의의 수면 시술을 진행하고 있습니다.
마치 잠을 자는 듯한 편안한 기분을 느끼실 수 있기 때문에
특히 치과 공포증을 가지고 계신 환자분들께서
더욱 광교365리움치과병원을 방문해주시고 있습니다.
안정성 높은
의식하 진정법 치료를 위해
마취과 전문의가
처음부터 끝까지 함께 합니다
풍부한 경험과 전문성을 갖춘 마취과 전문의가 수술에 참여해
실시간으로 모니터링을 실시하여 안전한 결과를 위해 노력합니다.
자세한 설명과 충분한 이해만으로도
통증과 두려움의 정도는 줄어듭니다.
치과에서의 경험이 보다 편안해지실 수 있도록
대부분의 치과 치료는 눈을 감은 채로 진행됩니다.
때문에 더욱 두려움도 크고 작은 자극에도 통증이 심하게 느껴집니다.
미리 다음 치료과정을 아는 것만으로도 혹은 치료에 대한
자세한 설명을 듣는 것만으로도 이러한 불편한 느낌은 훨씬 최소화됩니다.
시간이 조금 더 걸리더라도 과정이 조금 더 복잡해지더라도
광교365리움치과병원에서의 경험이 보다 편안해지실 수 있도록
충분히 설명 드리고 진행합니다.
수술실 입구 에어샤워 시스템으로
외부감염으로 부터 차단하고
내부 소독사님이 상주하여
감염관리에 힘쓰고 있습니다.
광교365리움치과병원은 감염관리를 위한 고압증기 멸균기,
저온플라즈마멸균기 등 다양한 소독 기구들을 보유하고 있으며
사용이 끝난 즉시 깨끗이 닦아 소독기계를 이용해 멸균을 시행합니다.
또한 1인 1기구 사용을 원칙으로, 교차 감염을 방지하고 있습니다.
정직한 진료 지향! 불안해 하지 마세요
광교365리움치과병원은 솔직하게 거짓없이 진료합니다.
경기권 최대규모 치과병원이라는 자부심을 가지고 있습니다.
당장의 눈앞의 작은 이익을 쫓지 않고, 환자분들의 평생주치의가 되기 위해서
솔직하고 거짓없이 진료하고 있으며 한 분 한 분 정성껏 진료해드릴 것을 약속드립니다.
환자의 부담을 덜어드립니다
더이상 비싼 치료비 때문에 고민하고, 치료를 미루지 않도록
치과치료에 대해 공포가 있는
환자 분들을 위한 수면마취 장비와
입원실에 준하는 회복실을 갖춘
광교365리움치과병원은 준비된 치과병원입니다.
-
수면마취 장비와 입원실
치과치료에 대해 공포가 있는 환자 분들을 위한 다양한 수면마취 장비, 입원실에 준하는 회복실과
갑자기 전기가 차단되었을때 응급 조치가 가능하도록 자가 발전 시설을 갖추었습니다. -
원내 기공소
원내 기공소가 있어 빠른 보철물 제작과 수정이 가능합니다.
또한 디지털 장비를 사용하여 정밀한 인상과 진단이 가능합니다.
에어샤워 시스템이 갖춰진
독립된 무균청정 수술실을 운영해
수술시의 감염을 예방합니다.
멸균 소독장비 및 감염관리 시스템을 통해
철저한 감염관리를 실시하고 있습니다.
-
수술 전 에어샤워 시스템
수술 전 모든 의료진은 에어샤워를 통과하며, 수술실 내부는 철저한 소독 시스템으로 관리하여
먼지균제거, 24시간 멸균소독을 통한 오염물질과 세균감염을 최소화합니다. -
멸균 소독장비 및 감염관리 시스템
1인 1기구를 사용함을 원칙으로 하며, 고온, 고압 멸균기, 초음파 세척기 등
최첨단 소독장비를 사용해 철저한 위생으로 안전한 진료환경을 제공합니다.
모든 환자가 쾌적하고 편안한 환경에서
편안하게 진료 받으실 수 있도록
-
수준급 규모의 치과병원
300평 정도의 넓은 치과병원으로, 진료용 체어 23대를 갖추고 있는 수준급 규모의 치과병원입니다.
14인 전문 의료진이 상주하여 1년 365일. 넓고 쾌적한 진료 환경에서 치료 받으실 수 있습니다. -
넓고 쾌적 & 편안한 대기실
넓고 쾌적한 대기실에서 편안하게 대기하실 수 있으며,
각 분과별 개별 상담실 및 진료실을 보유해 편안하고 안전한 진료가 가능합니다.
소개환자 많은 치과병원
재방문하는 치과병원
전국에서 찾아오는 치과병원
오랜 노하우와 풍부한 경험의 전문 의료진들이 디지털 시스템을 이용한
치과 진료를 통해 만족도 높은 양질의 의료 서비스 경험을 선사합니다
저희 병원은 환자분들의 입소문을 통해 서울, 경기 및 지방 환자분들까지 찾아주고 계십니다.
울릉도, 제주도에서도 오십니다.
저희 의료진은 항상 감사드리는 마음을 가지고 있으며,
받은 사랑을 만족스러운 진료 서비스로 보답 해드리겠다는 목표로 진료에 임하고 있습니다.






